What's on this page
What is a CT scan of the heart?
A CT scan uses X-rays of the heart to produce detailed images of the heart and the heart arteries, which the doctor can then see on a computer screen. The images are picked up using detectors.
The greater the number of detectors – the UK’s most commonly used version has 64 – the clearer the image and the more useful it is in helping the doctor to make a diagnosis.
There are two ways in which a CT scan can be used for the heart – one is a CT coronary angiogram and the other is a CT calcium score.
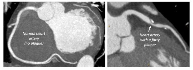
CT coronary angiogram
What is a CT coronary angiogram?
A CT coronary angiogram is used to directly visualise the heart arteries and the fatty deposits (plaques) that can develop within them. This fatty plaques can mean your heart is not getting the blood supply it needs, which can cause chest pain (angina) and heart attacks.
Similar to a conventional coronary angiogram, a CT coronary angiogram involves injecting an iodine-based dye into your bloodstream to highlight your blood vessels.
However, unlike the traditional angiogram, which involves inserting a catheter (a thin flexible tube) via the wrist or groin into the heart, a CT coronary angiogram, is non-invasive. This means that there are fewer potential complications such as bleeding or bruising.
You may also be given some medication to slow down your heartbeat, making it easier to take images.

Why would you have a CT coronary angiogram?
The CT coronary angiogram is the first line test recommended by UK guidelines for assessing patients presenting chest pain to outpatient cardiology or chest pain clinics. It will tell your cardiologist whether you have fatty plaques in your coronary arteries, the more plaques you have the more likely a heart attack is in the future.
It will also tell them whether these plaques are likely to be obstructing blood flow to the heart muscle and causing your chest pain.
A CT coronary angiogram can also be useful if you have heart failure but you doctor does not know why, if your doctor suspects you may have an abnormality in the structure of your heart, or if you are being considered for transcatheter aortic valve implantation (TAVI).
Want to get fit and healthy?
Sign up to our fortnightly Heart Matters newsletter to receive healthy recipes, new activity ideas, and expert tips for managing your health. Joining is free and takes 2 minutes.
I’d like to sign-up
CT calcium score
What is CT calcium scoring?
This is a simpler CT scan of the heart. It does not provide detailed pictures of the heart or heart arteries but instead measures the amount of calcified, or hardened, plaques in the heart arteries. This is usually explained as a calcium score which provides an assessment of the number of fatty plaques in the heart arteries. Again, the more fatty plaques you have, the higher the risk of heart attacks.
Unlike a CT angiogram, a calcium score does not involve a dye.
Why would you have a CT calcium score?
CT calcium scoring is sometimes used in patients without any symptoms related to their heart, to better understand their risk of having a heart attack and whether they need to take preventative medicines such as aspirin and statins to lower their risk of having heart problems.
Usually, these decisions are made by assessing patients’ risk factors. Sometimes this can be tricky, and a CT calcium score can help.
Patients without any symptoms of chest pain and a zero calcium have a very low risk of having a future heart attack. They may therefore not need to take preventative tablets such as aspirin or statins.
Patients with no symptoms but a high calcium score are at higher risk of heart attacks in the future and so may benefit from these preventative medications. At the moment this test is mainly used in private practice as a screening test.
Sometimes CT calcium scoring can be used in other conditions such as heart valve disease (in particular aortic stenosis, which is narrowing of your aortic valve) to assess how severe the disease is.
Who should not have a CT scan?
Unlike an MRI scan, CT scans expose you to radiation, so they are not suitable for pregnant women.
The CT angiogram may not be suitable for patients with advanced kidney problems because the dye can worsen kidney function.
It’s also not suitable for anyone who’s allergic to the dye or for anyone with severe asthma, because the dye can cause narrowing of airways.
What are the risks of CT scans?
The radiation levels associated with both CT coronary angiography and CT calcium scoring are low, similar to the annual background radiation that people are exposed to over the course of a year. However, because of this radiation, they should only be carried out only when really necessary.
What to read next...