Skip to main content
Understand health

What is bowel ischaemia?

Mr Kevin Varty, vascular surgeon at Addenbrookes Hospital Cambridge, explains ischaemic bowel to Senior Cardiac Nurse Philippa Hobson.

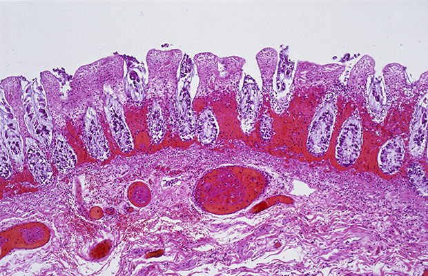
Bowel ischaemia: A section of intestine, as seen under a light microscope, has been damaged by interruption of blood supply.

Ischaemic bowel is a rare circulatory condition which can be linked with other heart and circulatory diseases. It comes in different forms.

  • Mesenteric ischaemia affects your small intestine (small bowel) and can be acute (serious and sudden) or chronic (long-term).
  • Colonic ischaemia, also called ischaemic colitis, affects your large intestine (large bowel). 

Hardening and narrowing of the arteries, or a clot (thrombosis) blocking an artery, are the most common causes of heart and circulatory diseases, such as heart attack and stroke. When the arteries supplying the bowel are affected, the flow of blood to the area is reduced and this is called ischaemic bowel.  

How common is ischaemic bowel? 

Serious cases are relatively rare, although there’s a lack of good evidence about exactly how common it is. The available figures suggest that ischaemic bowel and similar conditions cause 5-6,000 hospital admissions and 3,000 deaths in the UK each year.

The majority of people affected are over 50, and it is more common in women. Because your arteries and veins connect everything in your body, you are at higher risk of ischaemic bowel if you already have a heart or circulatory problem.

When the bowel arteries are scanned in patients who have previously had a heart attack or stroke, around one person in eight has some disease in their bowel arteries.  In patients with peripheral arterial disease (problems with arteries in the feet and legs), about one in four have bowel artery disease. However most of these patients don’t have any symptoms and the condition is mild.

The bowel has a good network of blood vessels so it can often adapt well. We do not know exactly how many of these patients do go on to develop symptoms but evidence suggests it is small, less than 1 in 20.  

What are the symptoms of ischaemic bowel? 

In chronic ischaemic bowel, gradual narrowing of the bowel arteries can lead to central and upper abdominal pain after eating. When this is severe, patients avoid eating and lose weight. They may also have diarrhoea. The difficulty is that there are many other more common causes of these symptoms, including gallstones, ulcers and colitis (inflammation of the gut lining). 

A number of bowel investigations, such as blood tests, scans, and angiograms, and colonoscopy (using a small camera to look inside your bowel), are required before a diagnosis of ischaemia can be made. If not treated, it is possible for the chronic form to become acute.  

Acute ischaemic bowel causes severe abdominal pain. Other symptoms can also include diarrhoea and feeling sick or vomiting, or an urgent or frequent need to go to the toilet.

It is usually caused by a clot (embolism) which causes a sudden blockage of a bowel artery.  This causes severe abdominal pain usually leading to emergency hospital admission.

Other causes of acute abdominal problems have to be considered too, but it’s important to consider ischaemic bowel as a possibility in patients with atrial fibrillation (an abnormal irregular heart rhythm), heart failure (when the heart muscle is damaged) or peripheral arterial disease. One sign is that there seem to be relatively few physical signs compared to the degree of pain caused, and the area may not feel particularly tender when touched.

Acute mesenteric ischaemia is a very serious condition, which can lead to gangrene (where the bowel tissue dies) and even death, especially if a diagnosis is not made early.  

How is ischaemic bowel treated? 

It may be treated with antibiotics and/or medications to prevent or treat clots. You may also be prescribed other drugs that can help the blood flow in your arteries. In acute cases, surgery may be needed.  

What can I do to avoid ischaemic bowel?  

As with other circulatory diseases, you can reduce your risk by looking after your health, including taking regular exercise, stopping smoking and eating a healthy dietHigh blood pressureraised cholesterol and diabetes need treatment and monitoring. Medication to reduce the risk of clots may also be needed.  

Meet the expertImage of Kevin Varty

Kevin Varty is a Vascular Surgeon at Addenbrooke's Hospital, Cambridge.