Circulatory conditions research
Our circulatory system is a network of veins and arteries carrying blood to and from parts of our body. When blood can’t flow properly through this network, we are at risk of a stroke, deep vein thrombosis or vascular dementia. That’s why we fund research into circulatory conditions.

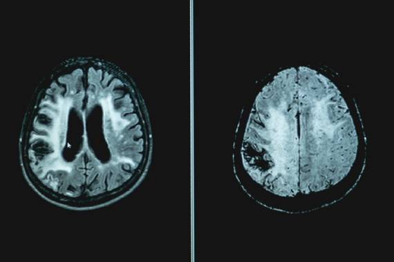
Stroke is the cause behind around 38,000 deaths each year in the UK. At the BHF we are aiming to better understand this condition and develop vital treatments with our research.

Vascular dementia is the second most common type of dementia, affecting around 150,000 people in the UK. There is no cure, but we fund research that could change that.

Most people won’t know they have atherosclerosis until they have a heart attack, stroke or angina. We're funding research to beat the heartbreak atherosclerosis causes.
DVT is a blood clot in one of the deep veins of the body, usually in the leg. Our research is vital to preventing and treating DVT safely and effectively.
PAD happens when these arteries become narrowed by a build-up of fatty material within their walls. Our research is needed to find effective and quick treatments.